РАДИОВИЗИОГРАФИЯ ЗУБОВ (РЕНТГЕН ЗУБОВ)
В ЖЕЛЕЗНОДОРОЖНОМ

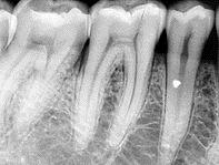
Визиография ― новый метод диагностики заболеваний полости рта, контроля за процессом лечения посредством современного цифрового оборудования ― визиографа. Специальный датчик передает изображение не на пленку, а на компьютер, где оно может обрабатываться и храниться.
Для того чтобы наиболее полно оценить состояние зубов и десен и выбрать оптимальную программу лечения, во многих случаях приходится делать рентгенограмму зуба. Этот метод диагностики обязателен при осложненном кариесе, пульпите, периодонтите и лечении ранее пломбированных зубов.
Еще несколько лет назад подобные снимки делались на пленку, изображение на которой во многих случаях не позволяло врачу объективно оценить эффективность лечебных процедур. Сегодня в снимок выполняется с помощь визиографа – цифрового рентгенологического аппарата, способного выявить мельчайшие дефекты и поражения структуры зуба или десны. Зачастую увидеть причину воспаления или острой боли можно только на рентгеновском снимке.
Каковы же плюсы рентген-визиографии?
-
Оперативность: минимальное количество времени, требуемое для создания снимка.
-
Безопасность для пациента и врача: уменьшенная в 10-15 раз по сравнению с пленочным рентген-аппаратом доза облучения.
-
Четкость изображения: благодаря высокому разрешению качество снимков на визиографе намного выше, что позволяет видеть все нюансы изменения в тканях ротовой полости в ходе лечения.
-
Информативность: возможность работы стоматолога с изображением на мониторе компьютера, увеличивая картинку, выделяя рельеф, а также проводить необходимые математические расчеты, определяя плотность тканей кости и зуба или размеры.
-
Возможность записи на любой цифровой носитель.
Все это - более точный диагноз, более обоснованная схема лечения и эффективный контроль за его ходом.
Визиография позволяет не только точно диагностировать заболевание, но и контролировать процесс лечения как стоматологу, так и самому пациенту. Снимки зуба, сделанные на различных этапах санации, будут храниться в единой компьютерной базе, что позволит обращаться к ним в любое время и по мере необходимости оценивать эффективность лечения.