Снять зубные отложения
Профессиональная гигиена полости рта
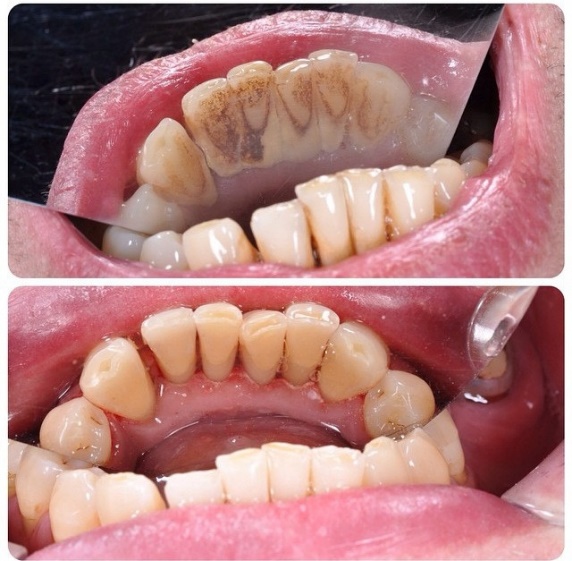
Профессиональная гигиена полости рта – подразумевает под собой комплекс гигиенических и профилактических мероприятий, направленных на поддержание здоровья полости рта (зубов, дёсен, слизистой).Профессиональную чистку полости рта в нашей клинике проводят специалисты с большим опытом в этой области стоматологии.
Профессиональная гигиена полости рта включает в себя: осмотр, диагностику, удаление мягкого зубного налета и твердых зубных отложений, реминерализирующую терапию, полировку поверхностей зубов, обучение пациента гигиеническим навыкам и рекомендации по правильному подбору средств домашнего ухода за зубами и деснами.
Приятным бонусом профессиональной чистки зубов является то, что она приводит к осветлению зубов на несколько оттенков.
Процедура профессиональной гигиены полости рта длится от 40 до 90 минут.

Профессиональная гигиена полости рта отличается от ежедневной чистки зубов тем что, во время процедуры используются дополнительные специальные препараты и оборудования. Недостаточная гигиена полости рта приводит к образованию зубного камня. Рост поддесневого зубного камня приводит в дальнейшем к развитию гингивита, пародонтита, расшатыванию и потери зубов.
Проведение профессиональной гигиены полости рта необходимо перед плановым терапевтическим, хирургическим, ортопедическим и ортодонтическим лечением. Учитывая серьезность выше изложенных проблем, мы рекомендуем проводить данную процедуру каждые 6 месяцев (при пародонтологических заболеваниях – каждые 3 месяца).
Профессиональная гигиена полости рта проведенная перед любым видом стоматологического лечения позволяет избежать от ряда осложнений, в том числе и инфекционных, продлевает срок службы пломб, коронок, имплантатов и здоровых зубов. Предварительная профессиональная гигиена полости рта необходима перед реставрацией зубов для более точного подбора оттенка реставрационных материалов и продления гарантии на выполненную работу. Профессиональная гигиена полости рта проводится перед любым видом отбеливающих процедур.
Регулярное выполнение профессиональной гигиены полости рта не только улучшит эстетику зубов, но и сохранит ткани зуба здоровыми.
С уважением
Рыжкова Мария Викторовна
Врач детский стоматолог, стоматолог терапевт
К.М.Н
МЦ ГЕРАТ